간 혈관종 간암이 될까? 치료를 해야 할까?
- 질병과 건강
- 2021. 1. 7. 21:09

간 혈관종 간암이 될까? 치료를 해야 할까?
간 혈관종을 앓고 계시나요? 간 혈관종은 생각보다 어렵게 발견되는 질환입니다. 대부분 간 혈관종이라는 말을 처음 듣게 되면 간암 같은 악성 종양인 줄 알고 놀라시는 분들이 계십니다.
하지만 크게 걱정하지 않으셔도 됩니다. 간 혈관종은 간암처럼 아주 위험한 병이 아니기 때문입니다. 간 혈관종에 대한 정보와 치료 방향, 진단비에 대해서 궁금하신 분들은 아래를 참고하시길 바랍니다.
만약 간 혈관종을 치료해야 한다면 대부분 절제 수술을 하거나 색전술로 치료를 해야 합니다. 간암처럼 수술을 하지는 않지만, 만약 수술을 받게 될 수도 있으니 수술에 대한 진단비를 미리 준비하시는 것도 좋은 방법입니다.
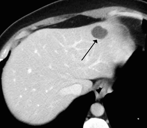
1. 간 혈관종이란?

간 혈관종은 간에 있는 혈관 조직이 덩어리를 이루고 있는 것을 말합니다. 우리 몸에 이렇게 세포가 비정상적으로 덩어리를 만들게 되면 '종양'이라는 말을 씁니다. 그래서 간에 종양이 발견되어 검사를 받았는데, 간 혈관종이라는 진단을 받을 수 있는 것입니다.

종양이라고 해서 많은 분들이 간암과 같은 악성 종양일까 봐 놀라거나 걱정을 하시는 분들이 있습니다. 저라도 그럴 것 같습니다. 하지만 간 혈관종은 악성 종양이 아닌 정상적인 세포로 이루어져 있는 양성 종양입니다. 걱정하실 필요가 하나도 없습니다.

그리고 간혹 간에 생긴 양성 종양으로 알고 있다가 나중에 악성 종양으로 발견되는 경우가 있습니다. 하지만 간 혈관종으로 최종 판명이 나면 그런 일은 없습니다. 간 혈관종은 악성 종양, 간암으로 변하지 않습니다.
2. 간 혈관종의 증상

증상은 대부분 나타나지 않습니다. 지름 4cm가 넘는 거대 혈관종처럼 크기가 많이 크거나 개수가 많을 경우 복통이나 복부 불편 통증이 느껴질 수 있습니다.
복부 불편함은 밥을 많이 먹지 않았는데 느껴지는 배부른 느낌과 오심 증상이 있을 수 있습니다. 드물게 간 혈관종 안에 있는 혈관에 문제가 생겨 출혈이 일어날 경우 급격한 복통을 느낄 수 있습니다.
3. 간 혈관종의 원인

간 혈관종은 간에서 발견되는 양성 종양 중에서 가장 흔한 질환입니다. 하지만 아직까지 간 혈관종의 정확한 원인이 밝혀지지 않았습니다.

폐 결절처럼 우연히 건강검진을 통해서 발견되는 경우가 많이 있습니다. 통계적으로 보면 남성보다는 여성에게 주로 발견됩니다.
의학 연구자들은 몸에 에스트로겐 호르몬이 투여되면 간 혈관종에 크기가 증가하는 것을 보고 이 여성 호르몬이 간 혈관종과 직접적으로 관련 될 수도 있다고 보고 있으나, 아직까지 정확하게 밝혀지지 않았습니다.
4. 간 혈관종을 진단하려면?

간 혈관종을 진단하기 위해서는 다양한 방법을 사용할 수 있습니다. 여기서 잘 알고 가야 할 것이 한 가지 있습니다. 먼저 간 혈관종이 의심되는 사람이 평소 간이 건강한 사람인지, 아니면 간질환이나 간암을 앓았던 환자인지를 파악해야 합니다.
만약 평소 간에 아무 문제가 없는 환자라면 영상 검사로도 충분히 혈관종이라는 것을 판단할 수 있습니다. 하지만 만성 간 질환이나 간암이 걸렸던 적이 있는 환자들은 간 혈관종처럼 보이는 악성 종양일 수도 있기 때문에 영상학적인 진단 말고 다른 검사들을 통해 정확하게 진단을 받아야 합니다.

간 혈관종을 검사하기 위해서 진행하는 방법은 혈관 조영 검사/테크네슘-적혈구 스캔 검사/복부 MRI/복부 CT 등이 있습니다. 급여가 안되는 검사는 진단비가 많이 비싸기 때문에 지원받을 수 있는 것들을 미리 알아보셔야 합니다.
특히 간암 진단을 받지 않을 경우 산정특례가 적용되지 않아 진단비만 어마어마가 나갈 수 있습니다. 물론 간암이 아닌 간 혈관종으로 나오면 다행이지만, 지출 금액을 생각하면 조금 놀랄 수도 있습니다.
5. 간 혈관종 치료를 해야 할까?

간 혈관종 같은 경우 양성 종양기 때문에 대부분 치료를 하지 않습니다. 양성 종양은 커지는 속도가 느리고, 악성 종양처럼 주변을 침범하거나 전이가 되지 않기 때문입니다.

하지만 간혹 거대 간 혈관종처럼 크기가 너무 클 경우에는 일상생활을 하는데 불편함을 느낄 수 있어서 제거 수술을 하는경우가 있습니다.
5.1. 치료 방법

간 혈관종 치료 같은 경우 폐결절 절제처럼 만약 혈관종이 간의 한쪽 끝에 있다면 비교적 간단한 수술로 제거할 수 있습니다. 하지만 만약 절제술을 하기 힘든 위치에 혈관종이 있다면 색전술을 이용하여 치료를 합니다.
간 혈관종은 양성 종양이기 때문에 수술이 어렵더라도 생명에는 큰 지장이 없으니 너무 걱정하지 않으셔도 됩니다.
6. 간 혈관종 간암이 될까?

앞서 말했지만 간 혈관종은 악성 종양이 아닙니다. 간에 생긴 악성 종양은 우리가 알고 있는 간암입니다. 간 혈관종은 양성 종양이며, 암으로 바뀌거나 변하지 않습니다. 생명에 위험이 되거나 건강을 해치지 않기 때문에 만약 간 혈관종 진단을 받으면 너무 놀라지 않으셔도 됩니다.
단, 간 혈관종 진단을 정확히 받기 전까지는 간에 생긴 종양이 간암일지도 모르기 때문에 정밀 검사를 받게 되는 것입니다. 간 혈관종은 예방 방법이 따로 없기 때문에 평소 간 건강에 신경을 잘 써주시면 됩니다.
2020/05/15 - [질병과 건강] - 간염 증상과 예방접종에 대한 모든 것
간염 증상과 예방접종에 대한 모든 것
간염 증상과 예방접종에 대한 모든 것 안녕하세요. 오늘은 간염 증상과 예방접종에 대해서 알아보겠습니다. 작년에 유행성 간염 때문에 우리나라가 한동안 떠들썩했는데요. 간염은 그냥 지나
healthgallery2020.com
2020/05/15 - [질병과 건강] - 만성간염 식생활 이렇게 하면 됩니다.
만성간염 식생활 이렇게 하면 됩니다.
만성간염 식생활 이렇게 하면 됩니다. 안녕하세요. 오늘은 만성간염 식생활에 대해서 알아보겠습니다. 만성간염을 앓고 계시는 분들은 평소 식생활에 신경을 잘 써주셔야 합니다. 먼저 간염에
healthgallery2020.com
2020/05/16 - [질병과 건강] - 간경화 초기 증상 확인해보세요.
간경화 초기 증상 확인해보세요.
간경화 초기 증상 확인해보세요. 안녕하세요. 오늘은 간염에 이어 간경화에 대한 증상을 알아보려고 합니다. 간경화는 아주 무서운 병이기 때문에 어느정도 정보를 알고 계시면 좋습니다. 간은
healthgallery2020.com
2020/05/18 - [질병과 건강] - 간경화 말기증상 총정리
간경화 말기증상 총정리
간경화 말기증상 총정리 안녕하세요. 저번 시간에는 간경화 초기증상에 대해서 알아봤는데, 오늘은 간경화 말기증상에 대해서 자세히 알아보는 시간을 가져보겠습니다. 간경화와 연관된 간염
healthgallery2020.com
위에는 간과 관련된 글들입니다. 만약 간 건강 때문에 걱정이 많으신 분들은 읽어 보시면 도움이 많이 되실 겁니다. 오늘은 이렇게 간 혈관종에 대해서 알아보았습니다.
병 이름이 조금 무서워 보이지만, 생각보다 아주 위험한 병은 아니기 때문에 너무 걱정하지 않으셔도 됩니다. 이 글을 읽고 마음이 조금 차분해지셨으면 좋겠습니다.
'질병과 건강' 카테고리의 다른 글
| 임신 가능성에 대한 정보 총정리 (0) | 2021.07.06 |
|---|---|
| 여자 맹장 위치 맹장염 초기 증상이 사람마다 다를까? (0) | 2021.01.08 |
| 폐암 병기 구분 TNM 보는 방법 총정리 (0) | 2021.01.07 |
| 포스파티딜세린 효능 부작용 총정리 (0) | 2021.01.02 |
| 노동과 건강, 삶의 질 (0) | 2020.12.16 |