폐암 병기 구분 TNM 보는 방법 총정리
- 질병과 건강
- 2021. 1. 7. 17:53

폐암 병기 구분 TNM 보는 방법 총정리
폐암 병기와 기수에 대해서 궁금하신가요? 폐암의 병기 구분을 할 때 주로 TNM 시스템을 사용합니다. 폐암 수술 후 조직 검사 결과지를 보면 병기 구분이 TNM으로 나와있는데, 보는 방법을 모르시는 분들이 많이 계십니다.
그래서 오늘은 폐암 병기 구분 TNM 보는 방법에 대해서 제가 자세히 말씀을 드려보겠습니다. 그리고 폐암이 걱정되시는 분들은 반드시 건강검진을 받으시고 초기에 수술을 받아 생존율을 높이시길 바랍니다.
폐암 같은 경우 1기와 2기까지는 수술이 가능하며, 3기부터는 부분적으로만 외과적 수술이 가능합니다. 폐암은 무조건 외과적 수술만이 완치를 할 수 있습니다. 그러니 주기적으로 건강검진을 받아 폐암을 초기에 발견하셔야 합니다. 저도 흡연자라서 1년에 한 번씩 폐 CT를 찍고 있습니다.
1. 폐암 병기는?

폐암은 생존율이 낮고 치료가 어려우며, 발생 빈도가 비교적 높은 최악의 암으로 꼽히고 있습니다. 그래서 많은 분들이 폐암 판정을 받으시면 정확히 본인이 몇 기인지, 생존율은 얼마나 되는지 궁금해하십니다.
폐암의 병기는 크게 1기/2기/3기/4기로 나눌 수 있으며, 이 안에서 좀 더 세부적인 병기로 한 번 더 나눌 수 있습니다. 제가 설명하는 폐암 병기 구분 TNM의 뜻과 보는 방법을 먼저 잘 보시고 그 아래에 설명되어 있는 병기 분류를 한 번 참고하여 읽으시면 됩니다.
2. TNM system

보통 폐암의 병기를 나눌 때 TNM 조직 시스템을 사용하고 있습니다. 폐암 판정을 받고 수술 후 최종조직검사지를 받으면 T2N1M0 이런식으로 최정 판정이 적힌 것을 볼 수 있습니다. 그럼 이 시스템을 어떻게 봐야할까요? 하나하나 살펴보겠습니다.
2.2. T(Tumor)

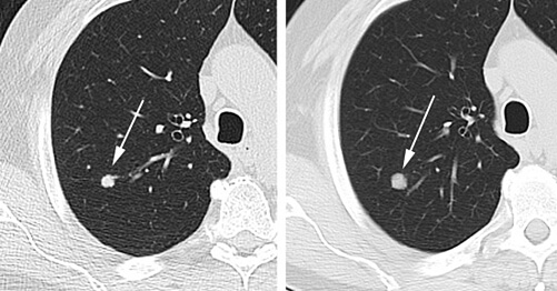
가장 앞에 오는 T는 'Tumor'의 앞 글자입니다. 'Tumor'는 종양을 뜻하는 말입니다. 즉, T는 폐암의 크기와 폐암의 상태를 나타내는 것을 뜻합니다.
폐암의 상태까지 같이 이해하려면 머리가 조금 복잡해질 수도 있습니다. 어려우신 분들은 그냥 '폐암의 크기구나'라고 생각을 하시면 됩니다.
2.2.1. T1
T1은 폐암의 크기가 3cm 이하를 뜻합니다. 그리고 폐암이 엽기관지 보다 더 근위부에 침범을 하지 않은 상태입니다. 또한 정확히 폐와 내장측흉막에 둘러싸여 있는 작은 상태일 때를 말합니다.
이 경우 5년 생존율이 80%가 넘습니다. 즉, 이때 외과적 수술로 치료를 받아야 완치율이 가장 높다는 뜻입니다. 그렇기 때문에 위에서 말한 주기적인 건강검진이 필수입니다.
2.2.2. T2

T2는 폐암의 크기가 3cm 이상 7cm 미만을 뜻합니다. 또한 폐암이 장측 흉막을 침범하게 될 경우에도 T2로 분류됩니다. 만약 3cm 이상의 T2 폐암이라도 다른 부위로 침범을 하지 않았으면, T1 폐암과 생존률이 비슷합니다.
2.2.3. T3

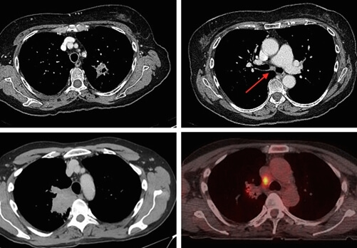
T3는 폐암의 크기가 7cm 이상을 뜻합니다. 그리고 T3 폐암 같은 경우 대부분 흉벽/흉막/심장/주기관지 등의 주변으로 침범을 하는 경우가 많습니다.
이러한 주변 침범이 있더라도 대혈관이나 다른 장기로 침범을 하지 않는다면 T3입니다. 간혹 폐암의 크기가 7cm 이상이지만, 주변으로 침범을 하지 않는 경우도 있습니다.
2.2.4. T4

T4 같은 경우 폐암의 크기가 커져서 주변의 조직을 직접 침범하였다는 뜻입니다. T4 폐암은 완전 절제가 어렵다는 뜻을 나타내기도 합니다. 즉, 외과적 수술이 불가능하다는 말입니다.
그래서 수술이 가능한 폐암 3기 A까지는 T3이며, 수술이 불가능한 폐암 3기 B부터는 T4입니다. 즉 간발의 차이로 수술을 못 받을 수도 있는 것이 폐암입니다. 비용과 건강을 잃고 싶지 않으면 주기적으로 검진을 잘 받으시길 바랍니다.
2.3. N(Lymph Node)

TNM에서 T 다음 적혀있는 N은 'Lymph node' 의 앞글자 이며, 이는 '림프절'을 뜻하는 말입니다. 즉, 폐암이 림프절로 얼마나 전이를 했는지를 나타내는 것을 뜻합니다.
우리 몸에 산소를 공급하는 과정에서 수많은 세균들과 이물질들이 폐에 침범합니다. 그래서 이러한 세균들을 막기 위해서 폐에는 광범위하게 전체적으로 림프절이 분포되어 있습니다. 위에 사진을 보시면 됩니다. 그래서 N은 이렇게 폐에 분포되어 있는 림프절로 폐암이 얼마나 전이 됐는가를 구분하는 것입니다.
2.3.1. N0

N0는 림프절로 전이가 이루어지지 않은 상태를 말합니다. 폐암이 1기일 경우 전부 N0입니다. 그리고 폐암이 림프절로 전이가 되면 재발될 확률이 높아집니다.
2.3.2. N1

N1은 한쪽 폐에 암이 있으면, 암이 있는 폐 쪽 림프절에만 전이가 된 경우를 말합니다. 좀 더 자세히 말하면 동측 기관지 주변/동측 폐문 림프절/동측 패내 림프절에 전이된 것입니다.
즉, 폐암이 있는 동일 측 림프절에 전이가 된 것으로 이해를 하시면 됩니다. N1까지는 생존율이 높은 것으로 나옵니다.
2.3.3. N2


N2는 N1처럼 같은 동일 측 림프절에 전이가 됐으나, 폐의 종격동과 심장 주변에 있는 림프절로 전이가 된 것 을 말합니다. 이 경우부터는 수술이 힘들고, 수술을 하더라도 어려운 상태가 됩니다.
2.3.4. N3

N3는 N1과 N2와 다르게 림프절의 전이가 폐의 종격동 중앙 경계선을 넘어 반대편 폐 쪽에 있는 림프절까지 전이가 된 경우입니다. 경계선을 넘었다고 해서 다른 장기나 다른 폐로 전이가 된 것은 아닙니다.
폐 같은 경우 우리 몸에 있는 장기 중에서 중앙이 존재하고, 장기가 양쪽에 달려있는 경우라서 이렇게 림프절 전이가 특수하게 이루어질 수 있습니다.
N3부터는 폐암 3기 B에 해당합니다. 이 경우 수술이 바로 불가능하고, 비용이 많이 나오는 선 항암치료를 먼저 받으셔야 합니다.
2.4. M(Metastasis)

마지막으로 M은 'Metastasis'의 앞글자로, '원격전이'를 뜻하는 말입니다. 원격전이가 있을 경우 암은 무조건 4기입니다. 만약 T1이나 T2처럼 원발성 폐암의 크기가 작더라도, 다른 장기로 원격 전이가 있을 경우에는 폐암 4기가됩니다.
2.4.1. M0
M0는 다른 장기로 원격 전이가 이루어지지 않았다는 뜻입니다. 조직 검사 결과 상 M0로 적혀 있다면 원격 전이를 하지 않은 상태라고 생각을 하시면 됩니다.
2.4.2. M1

M1은 폐암이 다른 장기로 원격 전이를 했다는 뜻입니다. 즉, M1이 적혀 있으면 폐암 4기라고 생각을 하시면 됩니다. TNM 폐암 병기 구분 앞에 무엇이 적혀 있던, M1 이면 무조건 폐암 4기입니다.
폐암 4기는 생존율이 5% 미만입니다. 수술이 불가능하고, 항암치료로 생명 연장을 해야 합니다. 정말 정말 낮은 확률로 폐암 4기에 수술을 하는 경우도 있기는 합니다. 하지만 현대 의학기술로도 폐암 4기 완치는 아직까지 상당히 어려운 상태입니다.
3. 폐암 병기구분 TNM 어떻게 읽나?

최종적으로 한번 보겠습니다. 만약 조직 검사 결과지에 T2N0M0라고 적혀 있으면, 종양의 크기가 조금 크더라도 림프절 전이와 원격 전이가 없기 때문에 폐암 1기입니다.
만약 T1N1M0으로 적혀 있다면, 종양의 크기는 작지만 한쪽 폐에 림프절 전이가 있는 상태라고 보시면 됩니다. 림프절 전이가 있으면 일단 폐암 2기입니다.


T4N3M0으로 적혀 있다면 종양의 크기가 상당히 크고 한쪽 폐를 넘어 반대편 편에 있는 림프절까지 전이가 된 것입니다. 하지만 다른 장기로 원격 전이는 이루어지지 않았기 때문에 폐암 3기입니다.
만약 T2N1M1로 적혀 있다면 폐암의 크기가 아주 크지는 않아도 원격 전이가 이루어졌기 때문에 폐암 4기입니다.

이러 식으로 위에서 제가 설명했던 TNM의 뜻과 보는 방법을 참고하셔서 환자의 폐암 병기를 해석하시면 됩니다. 영어가 섞여 있고 생소해서 어려워 보일 수 있으나, 이해하면 아주 어렵지 않습니다.
참고로 이 병기 구분은 폐암 중 발생 빈도가 제일 높은 비소세포폐암만이 해당됩니다. 소세포폐암 같은 경우 병기를 제한성 병기와 확장성 병기로만 나누어서 봅니다. 이 부분은 나중에 설명드리겠습니다.
2020/05/29 - [질병과 건강] - 폐결절이란?
폐결절이란?
폐결절이란? 안녕하세요. 오늘은 폐결절에 대해서 간단하게 알아보는 시간을 가져보겠습니다. 폐에 생기는 결절은 크게 양성결절(양성종양)과 악성결절(악성종양)이라는 두 가지의 성장결절이
healthgallery2020.com
2020/05/06 - [질병과 건강] - 간에 생기는 병 무엇이 있을까?
간에 생기는 병 무엇이 있을까?
간에 생기는 병 무엇이 있을까? 오늘은 간에 생기는 병이 무엇이 있는지 알아보겠습니다. 먼저 간은 우리 신체의 우상복부에 위치하고 있으며, 견고한 갈비뼈에 쌓여있어서 건강한 사람은 만져
healthgallery2020.com
위에는 폐결절에 대한 내용과 간에 생기는 병에 대한 이야기를 다룬 글입니다. 궁금하신 분들은 읽어보시길 바랍니다.
오늘은 이렇게 폐암 병기 구분 T.N.M. 보는 방법에 대해서 알아봤습니다. 폐암은 워낙 전이가 빠르게 이루어지기 때문에 최대한 빨리 발견하여 외과적 치료를 받아야 한다는 것을 꼭 기억하셔야 합니다.
'질병과 건강' 카테고리의 다른 글
| 여자 맹장 위치 맹장염 초기 증상이 사람마다 다를까? (0) | 2021.01.08 |
|---|---|
| 간 혈관종 간암이 될까? 치료를 해야 할까? (0) | 2021.01.07 |
| 포스파티딜세린 효능 부작용 총정리 (0) | 2021.01.02 |
| 노동과 건강, 삶의 질 (0) | 2020.12.16 |
| 동반질환과 기존 보정지표의 비교 (0) | 2020.12.16 |